24 Publicaciones De Facebook Que Te Harán Sentir Vergüenza Ajena; La...
El Facebook parece, hasta ahora, que llegó para quedarse.
Junto con su llegada nos abrió las puertas a posibilidades infinitas; algo que nos ha dado...
12 Fotos virales que todos creímos que era reales, pero en...
Actualmente es sumamente arriesgado dar por verdadero algo que se viraliza en Internet, la tecnología.
y la gente con ganas de trolear a los demás...
Madre está en shock cuando su hijo nace con puntos sanguinolentos,...
Cuando Dylan nació hace cinco años, sus médicos rápidamente se dieron cuenta de que algo no estaba bien con este recién nacido. La piel...
Una Mujer celosa tumba de pasola a la amante de su...
RD.- Un vídeo de una pelea protagonizada por dos mujeres frente al parque de Los Botados en en municipio de Yamasá provincia Monte Plata.
Y...
Guárdalo antes de que lo borren, este es el remedio que...
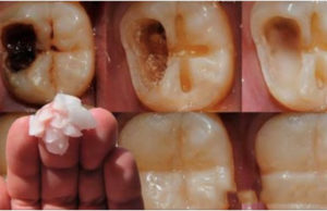
Si hay algo a lo que toda persona le damos mucha importancia es a nuestra dentadura.
De hecho, en casi todas las fotos que nos...
Un gorila “evoluciona” frente a los ojos de sus cuidadores y...
La red está llena de imágenes y vídeos de animales que causan furor por su ternura, curiosidad o porque nos conmueven grandemente.
Pero entre toda...
WhatsApp Viral: Infidelidad de mujer es revelada y ella hace esto...
¿Qué cosa hizo?. Una joven le dijo a su amante por WhatsApp que su novio lo había borrado de su Facebook y lo que...
¿Recuerdas la famosa caricatura Candy Candy? – Este fue su verdadero...
Sin duda uno de los animé más populares de la década de los 80 y 90 (aunque inició en 1976) fue Candy.
Si te encuentras entre...
Katy Perry la acusan de abuso . Forzó a un chico...
“Estaba muy incómodo. Yo Quería guardar mi primer beso para cuando yo tuviera una relación”, confiesa el concursante de American Idol.
Dentro de la nueva...
Perros callejeros salvan la vida de soldado en Afganistán, 4 meses...
Cuando dos personas, o quizás un humano y un animal, se conocen y trabajan juntos, pueden conseguirlo todo.
Esto es lo que le pasó a...






![WhatsApp Viral: Infidelidad de mujer es revelada y ella hace esto [FOTOS]](https://trucovida.com/web/wp-content/uploads/2018/03/noticia-whatsapp-novio1FB-300x194.png)










